低劑量電腦斷層(LDCT)在肺癌的篩檢日漸普及,但篩檢出微小結節後是否需要切除,也成為許多人的疑問。對此,台北慈濟醫院胸腔外科陳東仁醫師指出,肺結節不等於肺癌,更不代表一定要立刻開刀,臨床上會依照病灶大小、型態、位置及變化綜合判斷。加上肺癌治療已朝向精準醫學發展,對於部分位置或大小難以掌握的肺部病灶,可以透過術前電腦斷層染色定位或螢光定位,盡量縮小切除範圍,保留更多正常肺葉與肺功能。以61歲黃先生為例,戒菸一段時間的他主動接受LDCT篩檢後,發現右上肺有一顆約0.5公分的肺部結節,考量影像沒有高度惡性特徵,陳醫師安排他持續追蹤觀察,若有變大趨勢再進一步討論醫療方針。
肺癌長年高居國人癌症死因前列,且早期往往沒有明顯症狀,許多患者等到出現持續咳嗽、咳血、胸悶、呼吸困難或體重下降等症狀時時,病情已進入中晚期。「並不是只有吸菸者才會得肺癌。」陳東仁醫師表示,臨床上除吸菸仍是重要危險因子外,一等親肺癌家族史、慢性肺部疾病,以及長期暴露於二手菸、油煙或空氣污染等環境,也都可能增加罹癌風險。在過去,臨床多以X光作為初步檢查工具,對較小或位置較隱蔽的病灶辨識力有限,而近年政府推廣的LDCT能透過較低的輻射劑量進行多切面掃描,重建出更清楚的肺部影像,成為目前具國際實證的肺癌篩檢工具。
陳東仁醫師說明,針對篩檢出的微小結節,醫師無法單從影像直接判定良性或惡性。「根據國際指引,實質性的結節必須超過0.8公分或持續增大才會建議處理,但民眾若能定期追蹤,一旦出現變化,便能及早治療,而若能在早期就確診並接受適當治療,患者的五年存活率可高達九成。」陳醫師進一步說明,即便是真正需要處理的病灶,醫師也會依照大小、位置及臨床評估決定治療方式,若是早期腫瘤、體積小或位置較深,手術中有時不易用肉眼或觸感精準找到病灶,因此現在可在手術前先進行電腦斷層導引染色定位或螢光定位,協助術中快速辨識腫瘤位置,再用微創的方式進行手術。不僅提升切除精準度,也能避免切除過大的肺部範圍,盡量保留更多正常肺葉,減少不必要的正常組織切除。
陳東仁醫師提醒,面對肺癌威脅,民眾不必因為擔心篩檢後發現結節就過度恐慌,反而忽略了早期發現的重要性;且臨床端僅會切除高度懷疑是惡性的腫瘤,並非所有發現都需要手術。因此陳醫師建議民眾,若符合篩檢資格,應依照醫師評估接受低劑量電腦斷層檢查;若已發現肺部結節,也應配合門診規律追蹤,不要自行中斷。治療或手術後則應依照醫囑持續回診,並透過適度活動幫助肺功能恢復。唯有建立正確觀念、定期檢查並配合專業評估,才能把握早期介入時機,守住肺部健康。
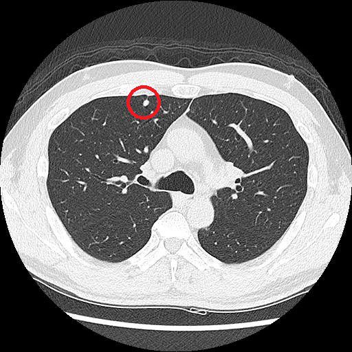
LDCT影像顯示,黃先生的右上肺處有一約0.5公分的結節,因無高度惡性特徵,僅需定期追蹤。
陳東仁醫師看診示意照。
| 媒體 | 標題 |
|---|---|
| 中國時報 | 保健》LDCT篩出微小結節 醫揭應對方式https://reurl.cc/pp5ND4 |
| TVBS | 有肺結節別慌!醫曝「大小」是關鍵 有症狀才檢查恐已中晚期https://reurl.cc/Dx49o6 |
| 台視新聞 | 肺結節不等於肺癌!醫師:多數不必急著開刀 LDCT助早期發現https://reurl.cc/Dxokne |
| 民視新聞網 | 健檢LDCT篩出「微小結節=肺癌」? 醫揭正確應對方式https://reurl.cc/2aE9M9 |
| 中天新聞網 | 肺癌手術前先「染色」定位!微創切除精準保留更多肺功能https://reurl.cc/Em474R |
| 常春月刊 | 肺結節不等於肺癌!醫師:多數不必急著開刀,LDCT助早期發現,精準定位讓手術更保留肺功能https://reurl.cc/9WR54X |
| 好醫師新聞網 | 肺結節不等於肺癌 LDCT揪出肺部小病灶https://reurl.cc/dpLNXV |
| 匯流新聞網 | 健檢LDCT篩出「微小結節=肺癌」? 醫揭正確應對方式https://reurl.cc/53OWNn |
| 良醫健康 | 健檢發現肺結節,下一步一定要開刀嗎?醫揭關鍵:超過●公分或變大才需處理https://reurl.cc/npra5d |
| 華人健康網 | LDCT揪出肺部微小病灶!肺結節有「這些」情况,精準定位助微創治療https://reurl.cc/qp0Rm3 |
| TCnews慈善新聞網 | LDCT揪出肺部微小病灶 北慈精準定位助微創治療https://reurl.cc/kpaLa9 |
| 台灣導報 | LDCT揪出肺部微小病灶 精準定位助微創治療https://reurl.cc/7E7XMN |
| 風傳媒 | 精準定位助微創治療!「低劑量電腦斷層」揪出肺部微小病灶https://reurl.cc/yO6NZD |
| 人間福報 | LDCT揪早期肺癌 定期追蹤免恐慌https://reurl.cc/V24OEZ |
| 中華新聞雲 | 肺結節≠肺癌 0.8CM以下先追蹤https://reurl.cc/4lWeRK |
| 太平洋新聞網 | 精準定位助微創治療 LDCT揪出肺部微小病灶https://reurl.cc/M2y51K |
| 平台 | 媒體 |
|---|---|
| YAHOO新聞 | 中天新聞網https://reurl.cc/GaKRzv中時新聞網https://reurl.cc/mp05kY常春月刊https://reurl.cc/6GQD5k匯流新聞網https://reurl.cc/qp0Abn好醫師新聞網https://reurl.cc/dpmxLk慈善新聞網https://reurl.cc/6GQOYM華人健康網https://reurl.cc/M2y5zX台灣新生報https://reurl.cc/0mZ0OA中華新聞雲https://reurl.cc/vE6OEl風傳媒https://reurl.cc/dpmkvD |
| LINE | 中天新聞https://reurl.cc/9WRNM8常春月刊https://reurl.cc/epdlgW華人新聞網https://reurl.cc/ov52ng慈善新聞網https://reurl.cc/dpmkKq中華日報https://reurl.cc/lp7rkd |
| YAM蕃薯藤 | 匯流新聞網https://reurl.cc/18GAgD華人健康網https://reurl.cc/9WRNOY慈善新聞網https://reurl.cc/4lWzmj |
| PCHOME | 常春月刊https://reurl.cc/V24x6N匯流新聞網https://reurl.cc/6GQOgM華人健康網https://reurl.cc/lp7rEv慈善新聞網https://reurl.cc/L26ry7 |
| 工商時報 | 中國時報https://reurl.cc/0mZ8V9 |
| 獨家報導 | 匯流新聞網https://reurl.cc/WbvQe5 |
| 鏡新聞 | 好醫師新聞網https://reurl.cc/aX4NKQ |