40歲的魏先生一向體格健壯,從事搬運工作多年,體能不輸年輕人。然而,近兩年來他逐漸感覺力不從心,肺活量明顯下降,時常出現間歇性暈眩,甚至有數次在搬運重物時,突然吸不到氣,胸口像是被重物壓住般喘不過氣來。近期他更在平時活動中出現背部劇烈疼痛,這才引起他的警覺,前往診所檢查,意外發現肺部有大片白影,隨即轉診至台北慈濟醫院胸腔內科。藍冑進主任與醫療團隊全面評估,電腦斷層初步研判為肺部慢性發炎,但進一步的支氣管鏡檢查卻顯示氣道清晰無異常,連同細菌與黴菌等各項培養檢查也均為陰性,病因成謎,只能密切追蹤病況,但三個月後卻發現雙肺白影惡化,最後,魏先生接受電腦斷層導引下的肺部穿刺切片,確診為極為罕見的肺部蛋白質沉積症(Pulmonary Alveolar Proteinosis, PAP)。
肺部蛋白質沉積症是一種肺泡內充滿蛋白樣物質,嚴重阻礙氧氣交換的罕見疾病。對此,藍冑進主任召集內外科醫師、麻醉科團隊、呼吸治療師與檢查室團隊設計「全肺灌洗術」(俗稱洗肺)的治療計畫,於複合式手術室清除病人肺部堆積的蛋白質。洗肺手術相當順利,魏先生於術後第三日康復出院,重拾健康與生活品質。他開心表示:「胸口重重的感覺已經好幾年,很久沒有這麼輕鬆,原本以為只是工作勞累,沒想到背後竟藏著這麼嚴重又少見的疾病,謝謝台北慈濟醫院醫療團隊!」
根據國外研究統計,蛋白質沉積症的發生率僅約百萬分之一。藍冑進主任指出:「目前醫學對該病的病因仍未完全明瞭,推測與自體免疫系統異常有關。正常情況下,肺部會分泌表面張力素等蛋白質,協助肺泡維持張開、促進氣體交換。但當這些蛋白質異常累積且無法被自然代謝清除,就會堵塞肺泡,進而導致缺氧、呼吸困難,嚴重時甚至可能危及生命。」此疾病在早期常無明顯症狀,容易與肺炎、肺纖維化等疾病混淆,導致誤診與治療延誤,因此提高臨床警覺性至關重要。
針對此疾病,目前最具療效的治療方式為「全肺灌洗術」(Whole Lung Lavage, WLL)。藍冑進主任進一步說明,洗肺需在全身麻醉下進行,使用雙腔氣管內管分隔雙側肺臟,讓醫師得以在維持一側肺臟正常通氣的同時,對另一側肺進行灌洗。臨床上通常先清洗結構較單純的左肺,視患者恢復情況,再於數週後灌洗右肺。過程中,醫療團隊會使用約10公升的溫熱生理食鹽水,重複灌注並抽出,徹底清除沉積於肺泡內的蛋白質物質。此手術在設備先進的複合式手術室內進行,搭配即時X光影像輔助,以精準掌握灌洗範圍與清除成效,確保手術安全性與完整性。且手術方式乍聽繁複,但實際風險相對低,最常見的併發症包括氣胸與肋膜積水,發生率不到1%,大多可以妥善處理,幾乎不會留下長期後遺症。藍冑進主任強調:「全肺灌洗術是一項跨團隊合作的高階技術,需仰賴胸腔內外科醫師、麻醉科、呼吸治療師與放射科團隊緊密配合,才能為病患爭取最佳的呼吸品質與生活重建機會。」
由於醫學上對於蛋白質沉積症的確切病因仍未釐清,其後續是否會復發亦無法明確預測。台北慈濟醫院胸腔內科藍冑進主任提醒,民眾若出現原因不明的呼吸困難、活動耐受力下降、胸悶或易喘等症狀,切勿輕忽。建議儘早尋求胸腔專科醫師的專業評估,以利及早診斷與介入治療。及時處置不僅有助於延緩肺功能惡化,亦能有效降低疾病對生活品質的影響,提升整體預後。


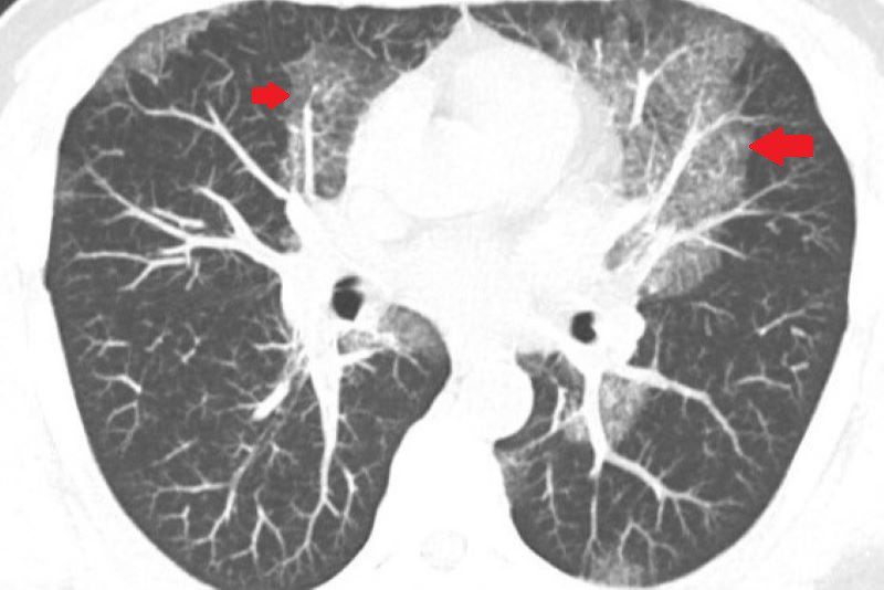
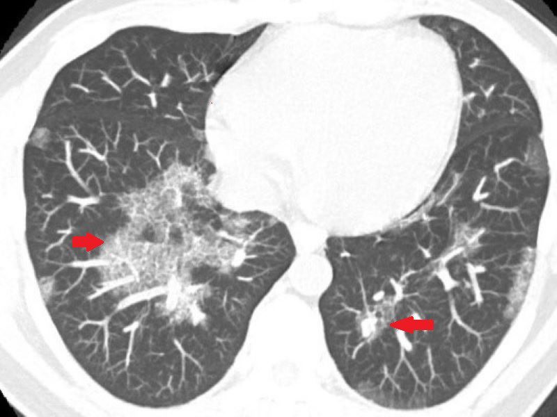
魏先生的胸部影像檢查有大片白影。

藍冑進主任看診示意照。
| 媒體報導 | |
| 自由時報 | 肺部白影非肺炎 蛋白質沉積症作祟 洗肺找回健康
非肺炎 40歲男肺部大片白影 罕病「蛋白質沉積症」作祟 |
| 聯合報 | 肺部白影不一定是肺炎 罕見蛋白質沉積症恐致命 |
| TVBS | 肺部白影非肺炎!竟是蛋白質沉積症 「全肺灌洗術」戰勝罕病 |
| 台視新聞 | 罕見肺部蛋白質沉積症 壯年搬運工呼吸困難險喪命!1方法重獲新生 |
| 民視新聞 | 肺部大片白影竟是「這一罕病」!竟全肺盥洗恢復才健康呼吸! |
| 常春月刊 | 罕見肺部蛋白質沉積症 壯年搬運工呼吸困難險喪命 靠1方法重獲新生 |
| 匯流新聞網 | 他40歲突發「大白肺」吸不到氣 百萬分之一罕病上身!洗肺保命 |
| 大愛電視台 | 自體免疫罕見疾病 洗肺去除沉積蛋白 |
| Uho優活健康 | 胸悶、喘不過氣要注意!醫揭「肺部蛋白質沉積症」容易與肺炎搞混 |
| 健康2.0 | 壯男吸不到氣「大白肺」!非肺炎竟是罕見肺病 洗肺救回一命 |
| 早安健康 | 40歲壯男胸悶、暈眩一查大白肺!「肺泡被蛋白質阻塞」得靠洗肺救命 |
| TCnews慈善新聞網 | 肺部白影非肺炎!竟是蛋白質沉積症 全肺灌洗恢復健康呼吸https://reurl.cc/WO8ZO9 |
| ETtoday健康雲 | 搬運工「大白肺」吸不到氣 竟是百萬分之一罕病上身https://reurl.cc/LnQyM4 |
| 好醫師新聞網 | 壯男胸悶喘不過氣 竟罹蛋白質沉積症https://reurl.cc/Ln2EvL |
| 台灣新生報 | 肺部白影不是肺炎! 竟是蛋白質沉積症! |
| NOW今日新聞 | 呼吸困難、胸悶當心!醫師示警「肺部蛋白質沉積症」:恐危及生命 |
| 中華日報 | 大白肺非肺炎 竟是蛋白質沉積症 |
| 風傳媒 | 肺部大白影」病因一度成謎!患者罹蛋白質沉積症 全肺灌洗恢復健康呼吸 |
| 網站平台轉載 | |
| YAHOO新聞 | 常春月刊
好醫生新聞網 風傳媒 慈善新聞網 中華日報 大愛電視台 匯流新聞網 早安健康 台灣新生報 |
| LINE | 常春月刊
TVBS 大愛電視台 中華日報 Uho優活健康 https://reurl.cc/6qGE7b 風傳媒 |
| YAM蕃薯藤 | 慈善新聞網
優活健康 匯流新聞網 |
| PCHOME | 常春月刊
好醫師新聞網 匯流新聞網 Uho優活健康 |
| MSN | TVBS |
| OwlNews | 常春月刊
匯流新聞網 |
| 獨家報導 | 匯流新聞網 |
| 手術善其事 | 慈善新聞網 |