67 歲的林女士一向健康,卻在近期出現間歇性的無痛血尿,她原本以為只是小問題,至台北慈濟醫院檢查後,竟發現左側輸尿管末端長了一顆5公分的腫瘤,並造成腎水腫情形。確診為輸尿管泌尿上皮癌後,許竣凱醫師先安排化療縮小腫瘤,再利用達文西手術切除腫瘤並重建輸尿管,成功保留腎臟功能,林女士術後追蹤至今,病情控制良好。
輸尿管是連接腎臟與膀胱的重要管道,負責將腎臟產生的尿液順利輸送到膀胱儲存與排出。根據衛生福利部統計,泌尿上皮癌發生率每十萬人中約有40-50例,臨床上,醫師會以尿液檢驗、膀胱鏡、超音波與電腦斷層進行診斷,排除泌尿道感染、輸尿管結石等會伴隨疼痛的血尿後,就要高度懷疑腫瘤的可能。許竣凱醫師指出:「長期吸菸、處於環境汙染及具家族史者都是危險因子,輸尿管泌尿上皮癌症狀並不明顯,常見表現為無痛性血尿,若置之不理,腫瘤可能造成阻塞及腎衰竭、或是逐漸擴散,甚至出現遠端轉移,危及生命。」
泌尿上皮癌的治療方式多元,包括手術治療、化學治療、免疫療法及標靶治療等,醫師會視腫瘤期別、位置及腎功能等病況綜合評估,決定是否需要手術或採取其他治療策略。以手術而言,又有腹腔鏡及達文西手術等選擇,雖然腹腔鏡手術具備傷口小、恢復快的優點,但受限於視野與操作難度,因此目前醫界多以視野清晰、操作靈活的達文西手術為主流。達文西手術在三維立體視野下,能精準切除腫瘤,並同步進行輸尿管與膀胱重建,許竣凱醫師進一步解釋:「以林奶奶為例,其腫瘤位於下段輸尿管,在化療成效良好的情況下,只需切除病灶,再將膀胱提起與輸尿管相接,完成重建。」若經完整切除,病人的五年存活率可達9成,但仍需定期追蹤,以降低復發風險。
許竣凱醫師提醒,由於泌尿上皮癌症狀並不明顯,建議高風險族群應定期接受健康檢查,如出現血尿亦應尋求專業醫師診斷,及早發現才能降低腎功能惡化與癌症擴散風險。

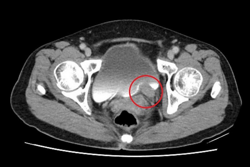
電腦斷層顯示,左側輸尿管末端有一約5公分大腫瘤。

許竣凱醫師看診示意照。
| 媒體報導 | |
| 自由時報 | 67歲婦人無痛血尿 竟是罹癌!達文西手術根除病灶留腎臟 |
| 三立新聞網 | 「無痛血尿」藏危機!6旬婦輸尿管爆「5公分大腫瘤」醫:3類人高風險 |
| TVBS | 無痛血尿隱藏危機!6旬婦罹泌尿上皮癌 3類人高風險 |
| 中天新聞網 | 5公分「輸尿管腫瘤」險致腎衰竭!醫:無痛血尿勿輕忽 |
| 民視新聞網 | 6旬婦偶爾「滴滴答答…」無痛血尿 竟是輸尿管長5公分大腫瘤 |
| HEHO健康 | 排尿時哪些問題要注意?「泌尿上皮癌」太晚發現存活率降至 2 成 |
| ETtoday | 婦「無痛血尿」竟是癌 醫揪輸尿管5cm腫瘤 |
| 良醫健康 | 無痛血尿竟罹癌!你沒聽過的「泌尿上皮癌」是什麼?醫師點名3類高風險族群 |
| 祝你健康 | 「無痛血尿」藏危機!6旬婦輸尿管爆「5公分大腫瘤」醫:3類人高風險 |
| NOW健康 | 67歲婦人確診輸尿管泌尿上皮癌 醫:無痛性血尿是警訊 |
| 優活健康網 | 婦「無痛血尿」竟是癌!醫揭「泌尿上皮癌」恐致腎衰竭:3類人要小心 |
| 匯流新聞網 | 6旬婦偶爾「滴滴答答…」無痛血尿 竟是輸尿管長5公分大腫瘤 |
| 好醫師新聞網 | 婦人無痛血尿竟是罹癌 手術根除病灶並保留腎臟 |
| TCnews慈善新聞網 | 無痛血尿竟是罹癌 手術根除病灶並保留腎臟 |
| 鏡新聞 | 婦人無痛血尿竟是罹癌 手術根除病灶並保留腎臟 |
| 華人健康網 | 無痛性血尿竟是罹患輸尿管泌尿上皮癌!手術根除病灶並保留腎臟 |
| 人間福報 | 無痛血尿竟是癌 達文西手術根除保腎 |
| 今日新聞 | 67歲婦「無痛血尿」竟罹癌!醫檢查揪出5公分腫瘤 |
| 獨家報導 | 6旬婦偶爾「滴滴答答…」無痛血尿 竟是輸尿管長5公分大腫瘤 |
| 台灣導報 | 無痛血尿竟是罹癌 手術根除病灶並保留腎臟 |
| 網站平台轉載 | |
| YAHOO新聞 | 自由時報
三立新聞網 中天新聞網 優活健康網 匯流新聞網 好醫師新聞網 慈善新聞網 華人健康網 今日新聞 台灣新生報 |
| LINE | TVBS新聞網
三立新聞網 中天新聞網 NOW健康 優活健康網 慈善新聞網 華人健康網 今日新聞 |
| YAM蕃薯藤 | NOW健康
優活健康網 匯流新聞網 慈善新聞網 華人健康網 |
| PCHOME | NOW健康
優活健康網 匯流新聞網 好醫師新聞網 慈善新聞網 華人健康網 今日新聞 |
| OwlNews | 匯流新聞網
好醫師新聞網 |
| 鏡新聞 | 三立新聞網
好醫師新聞網 |
| 民視新聞網 | NOW健康 |
| 品觀點 | NOW健康 |
| 愛傳媒 | 好醫師新聞網 |
| MSN | TVBS新聞網
今日新聞 |
| 四季線上 | NOW健康 |
| 台灣調查網 | 匯流新聞網 |
| 桃園電子報 | 三立新聞網 |