早期肺癌難察覺 LDCT揪出病灶

早期肺癌難察覺 LDCT揪出病灶

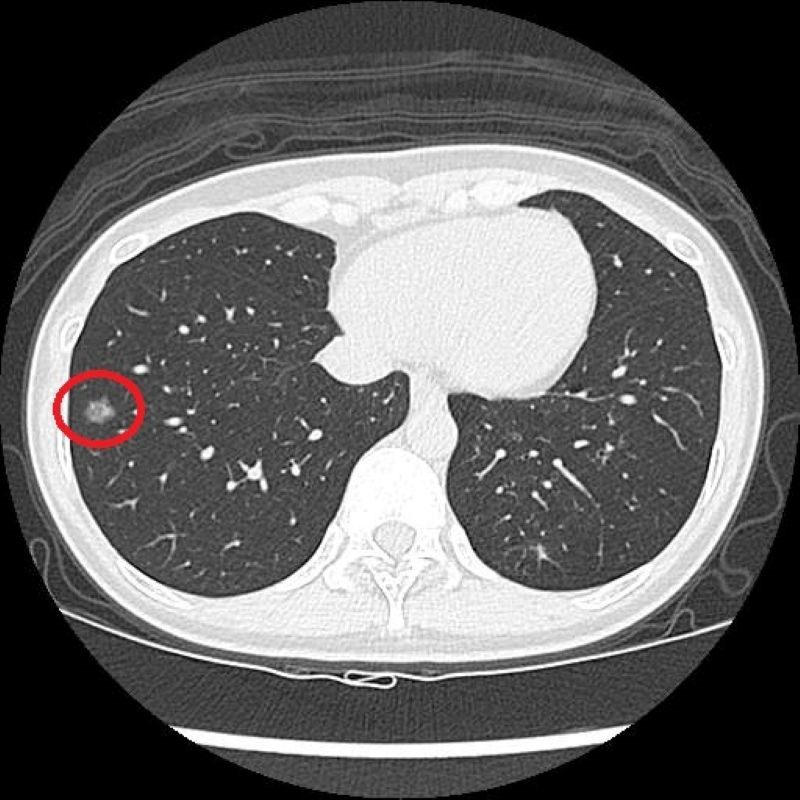
    過去有長期的吸菸史的41歲的陳小姐,在醫療團隊的協助下戒菸近兩年,雖然沒有任何不適,但仍定期留意自身健康。因符合政府公費「低劑量電腦斷層(LDCT)」篩檢條件,她依建議至台北慈濟醫院接受檢查,卻意外發現右肺有一顆約1.2公分的毛玻璃結節,被轉診至胸腔外科門診,由洪嘉聰醫師進行單孔胸腔鏡微創手術切除病灶,術後病理檢查確診為肺腺癌第一期,目前定期回診追蹤中。

    根據衛生福利部癌症登記資料,肺癌已連續43年高居國人癌症死因之首,其中吸菸仍是主要的危險因子,但臨床上也常見不吸菸者罹患肺癌,這往往與二手菸、空氣污染、特殊職場環境,以及本身具其他肺部疾病或家族史等因素有關。洪嘉聰醫師說明:「早期肺癌幾乎沒有明顯症狀,多數患者是在疾病進展後,才可能出現咳嗽、咳血或呼吸不適等警訊,因此民眾較難察覺異樣。」

    篩檢方面,過去是以胸部X光作為工具,但由於影像為2D平面,對於體積小或位置較隱蔽的病灶辨識能力有限;若是改以一般劑量的電腦斷層檢查,雖能提升解析度,但其輻射劑量相對較高,且需較長時間代謝,不適合作為常規或大規模篩檢工具。而LDCT篩檢則是利用比傳統電腦斷層更低的輻射劑量,從多個角度掃描胸腔,重建出清晰的橫切面和立體影像,有助於偵測肺部的微小結節。洪嘉聰醫師指出,相較於傳統胸部X光只有少數約7%的受檢者會出現疑似異常影像,LDCT能使初次篩檢的陽性比例提升至約23%~24%,大幅增加早期病灶被發現的機會。

    正因為能及早診斷,病人得以在罹癌早期接受治療。洪嘉聰醫師表示,醫學進步,早期肺癌現今主流手術為單孔胸腔鏡手術,僅需從側胸開一2-3公分的傷口,利用類似釘槍的自動縫合器,就能完成病灶切除與縫合;此外,針對高齡長者或經評估肺功能較差者,亦可考慮冷凍消融治療,在超音波影像導引下,將探針精準置入病灶,透過低溫氬氣或液態氮破壞癌細胞結構,達到局部治療的效果。只要能在早期診斷並及時接受合適治療,病人的五年存活率高達九成,復發率約落在2-3成之間。

    洪嘉聰醫師提醒,國健署補助2年一次的LDCT公費篩檢,凡是具家族史或符合資格之重度吸菸者,皆應把握機會檢查。台北慈濟醫院何景良副院長也提到:「本院配合「健康台灣深耕計畫」進一步擴大篩檢對象,將年齡門檻放寬至40歲,並納入重度吸菸者同住家人、從事宗教服務、餐飲工作,以及曾暴露於石綿等致癌環境者的篩檢資格。」同時也呼籲,癌症長年位居國人十大死因之首,除口腔癌、大腸癌、乳癌、子宮頸癌、肺癌與胃癌外,台北慈濟醫院也納入肝癌及攝護腺癌的篩檢,鼓勵民眾早期篩檢、掌握癌症黃金治療期的重要性。

早期肺癌難察覺 LDCT揪出病灶 20260115 1LDCT檢查顯示,陳小姐右側肺部有一1.2公分大的毛玻璃結節。

早期肺癌難察覺 LDCT揪出病灶 20260115 2洪嘉聰醫師看診示意照。

早期肺癌難察覺 LDCT揪出病灶 20260115 3血液腫瘤科的何景良副院長指出,癌症長年位居國人十大死因之首,除了政府提出的六癌篩檢外,台北慈濟醫院納入肝癌及攝護腺癌篩檢,期待藉由及早診斷,提升病人預後成果。

早期肺癌難察覺 LDCT揪出病灶 20260115 41月14日,台北慈濟醫院舉辦「早篩早安心 健康不『肺』力」衛教講座,洪嘉聰醫師說明肺癌篩檢的重要性。

媒體報導
媒體 標題
自由新聞網 早期肺癌難察覺 國健署補助老菸槍2年1次公費LDCT揪出病灶https://reurl.cc/rKbVVZ
三立新聞網 戒菸2年仍罹肺癌!41歲女靠「這篩檢」揪出1.2公分結節救命 醫揭關鍵https://reurl.cc/1kaXL8
中天新聞網 戒菸2年無症狀!40歲女篩檢揪出肺癌早期病灶https://reurl.cc/GGqYLp
壹蘋新聞網 沒症狀也中鏢!41歲女做公費電腦斷層 揪出肺癌一期https://reurl.cc/3bl6GL
HEHO健康 早期肺癌有「微創單孔」與「冷凍消融」2 大利器 ! 精準擊碎癌細胞並可保留肺功能https://reurl.cc/R9lLxz
ETtoday 40歲女戒菸2年沒不適 篩出右肺長小顆「毛玻璃結節」確診肺癌https://reurl.cc/VmZoqQ
常春月刊 早期肺癌難察覺,1篩檢助揪出隱形病灶https://reurl.cc/GGq0pW
祝你健康 戒菸2年仍罹肺癌!41歲女靠「這篩檢」揪出1.2公分結節救命 醫揭關鍵https://reurl.cc/zKjpve
TCnews慈善新聞網 早期肺癌難察覺 LDCT揪出病灶https://reurl.cc/Xarbb3
大愛新聞 肺癌新國病 台北慈濟醫院衛教講座https://reurl.cc/pKbEYb
中華日報 41歲熟女老菸槍 LDCT揪出肺癌病灶https://reurl.cc/MMmogK
民報 蟬聯台灣43年癌王早期無症狀難防 41歲女靠一公費檢查揪出保命https://reurl.cc/oKoVn3
網站平台轉載
平台 媒體
YAHOO新聞 壹蘋新聞網https://reurl.cc/Ykr4yo三立新聞網https://reurl.cc/R9lLlr中天新聞網https://reurl.cc/0abeG9常春月刊https://reurl.cc/gnb5eb慈善新聞網https://reurl.cc/bNboAl大愛新聞https://reurl.cc/Yk5zYa中華日報https://reurl.cc/AbWlDZ民報https://reurl.cc/R9lLNG
LINE 中天新聞網https://reurl.cc/xKb8XN常春月刊https://reurl.cc/nlbgv1HEHO健康https://reurl.cc/6b3j85慈善新聞網https://reurl.cc/pKbR4l中華日報https://reurl.cc/Yk5onL
YAM蕃薯藤 慈善新聞網https://reurl.cc/8bAVLM
PCHOME 常春月刊https://reurl.cc/vKbNpL慈善新聞網https://reurl.cc/qKbq63
鏡周刊 三立新聞網https://reurl.cc/nljq88
桃園電子報 三立新聞網https://reurl.cc/W8ZAQL
MSN 三立新聞網https://reurl.cc/R9lL7xETtodayhttps://reurl.cc/gnjeVp