75歲的張先生右耳曾罹患慢性中耳炎並合併耳聾。近日右耳出現耳痛、耳脹並伴隨膿性分泌物,原先於診所治療未見改善,轉至台北慈濟醫院就診時,檢查發現外耳道嚴重紅腫狹窄,內部堆積大量碎屑及膿液。耳鼻喉科鄭靜雯醫師在進行局部清理及藥物治療後,症狀仍未明顯改善,後續更出現右側顏面神經麻痺。經顳骨電腦斷層檢查確認為慢性中耳炎併發膽脂瘤,且病灶已侵蝕顱底骨質,需安排住院治療。期間,張先生先後接受抗生素及局部治療控制感染,並經歷鼓室重建術、乳突鑿開術清除膽脂瘤病灶及修補耳膜、外耳道成形術及顱底缺損修補,術後恢復良好,顏面神經功能也完全恢復。
耳朵構造可簡單分為外耳、中耳和內耳,外耳包括耳廓與外耳道,是收集聲音的管道;中耳位於耳膜內側,內有聽小骨,負責把聲音傳到內耳;內耳則是平衡與聽覺的感覺器官。膽脂瘤是由扁平上皮細胞累積角質物質形成的腫塊,通常發生在中耳或中耳後方的乳突等容易累積角質化上皮的部位,可分為先天性與後天性。先天性多由胚胎發育時殘留的角質化扁平上皮所致,後天性是上皮細胞因耳部疾病進入中耳腔或乳突,長期累積角質形成腫塊,進而侵蝕骨質。鄭靜雯醫師說明,後天性膽脂瘤多為慢性中耳炎併發症。因慢性中耳炎為長期或反覆的中耳發炎,導致鼓膜穿孔無法自癒,形成持續性的感染通道,也容易導致扁平上皮經耳膜穿孔進入中耳腔,形成膽脂瘤。據統計,膽脂瘤約佔慢性中耳炎手術案例的10%。此外,鼓膜穿孔、中耳負壓、唇顎裂兒童及耳咽管功能不佳者,也是膽脂瘤的高風險族群。
由於膽脂瘤多發生在中耳或接近顱底的位置,一旦形成,可能影響聽力與神經功能,其分泌物亦容易滋生細菌,導致反覆感染;若未及時治療,可能引發暈眩,甚至因鄰近顱內而造成腦膜炎、腦炎或腦膿瘍。目前,手術切除是膽脂瘤根治的唯一方法,術前需以顳骨電腦斷層檢查評估膽脂瘤範圍及侵蝕程度;手術方式依病灶大小、位置,可能採耳內微創、耳前或耳後切開術,徹底清除膽脂瘤並重建受損結構。急性發炎期則需輔以抗生素控制感染,術後追蹤可降低復發風險,但膽脂瘤若已侵蝕骨質,仍需長期觀察。以張先生為例,雖前後接受過局部藥物、抗生素治療,但考量其慢性中耳炎併發膽脂瘤已破壞聽小骨、乳突及部分顱底骨質,因此需從耳後切開進入外耳道及中耳腔,打開耳後的乳突骨,將病變組織除去後,重建修復骨骼和軟組織缺口。
鄭靜雯醫師提醒,慢性中耳炎不可輕忽,若耳朵長期流膿、反覆發炎,或伴隨聽力下降、耳脹疼痛等症狀,應立即就醫。同時也提醒民眾,過度或不當的挖耳、清潔方式,可能造成外耳道或耳膜受傷,增加感染風險。早期治療能更有效恢復聽力,也能避免膽脂瘤引發的暈眩、顏面神經麻痺及顱內感染,保障聽力與健康。
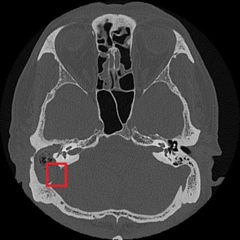
紅框處可見與後顱窩相隔的骨板被膽脂瘤侵蝕。
鄭靜雯醫師看診示意照。
| 媒體 | 標題 |
|---|---|
| 自由時報 | 慢性中耳炎勿輕忽 併發膽脂瘤造成聽力與神經損傷https://reurl.cc/QVAo4Z |
| 聯合報 | 輕忽中耳炎釀悲劇 併發膽脂瘤致聽力與顏面神經損傷https://reurl.cc/Zl3obl |
| TVBS | 中耳炎變面癱!七旬翁併發「膽脂瘤」侵蝕顱底 4症狀是警訊https://reurl.cc/Eb5z5m |
| 中天新聞網 | 耳朵別亂挖!75歲翁「右臉突癱瘓」家人嚇哭 醫一照驚:已侵犯大腦https://reurl.cc/3bEQxj |
| 三立新聞網 | 耳朵流膿別亂挖!75歲翁「右臉突癱瘓」嚇壞 醫一照驚:大腦骨頭被吃掉https://reurl.cc/gnyoZL |
| 三立-祝您健康 | 耳朵流膿別亂挖!75歲翁「右臉突癱瘓」嚇壞 醫一照驚:大腦骨頭被吃掉https://reurl.cc/R9Gor6 |
| ETtoday | 慢性中耳炎拖到半邊臉癱瘓 「膽脂瘤」已啃蝕頭骨顱底https://reurl.cc/MM5obK |
| 常春月刊 | 慢性中耳炎未控 75歲翁併發膽脂瘤侵蝕顱底、顏面神經麻痺https://reurl.cc/NNdoG6 |
| HEHO健康 | 你還在亂挖耳朵嗎?耳鼻喉科醫師示警:不當掏挖恐引發「膽脂瘤」侵蝕大腦https://reurl.cc/2lGODE |
| 匯流新聞網 | 耳朵痛脹、狂流膿 他慢性中耳炎竟釀「膽脂瘤侵蝕顱底」https://reurl.cc/LQO0nX |
| 優活健康網 | 7旬翁「慢性中耳炎」竟半邊臉癱瘓!醫揭「1併發症」恐侵蝕大腦頭骨https://reurl.cc/4bzybv |
| TCnews慈善新聞網 | 慢性中耳炎勿輕忽 併發膽脂瘤造成聽力與神經損傷https://reurl.cc/W8QokZ |
| 太報 | 慢性中耳炎拖不得!七旬翁臉癱耳聾 「膽脂瘤」侵顱骨險救回https://reurl.cc/vKR1Mk |
| 人間福報 | 慢性中耳炎勿輕忽 併發膽脂瘤傷聽力https://reurl.cc/mk58vY |
| 引新聞 | 慢性中耳炎惡化侵顱底 台北慈濟手術救回顏面神經成功案https://reurl.cc/7bzogb |
| FTNN新聞網 | 七旬老翁慢性中耳炎竟併發「膽脂瘤」 侵蝕顱底致顏面神經麻痺https://reurl.cc/2lGO8n |
| 平台 | 媒體 |
|---|---|
| YAHOO新聞 | 中天新聞網https://reurl.cc/eVlo3j自由時報https://reurl.cc/5bWNMn三立新聞網https://reurl.cc/7bQGrl常春月刊https://reurl.cc/9bkZnj優活健康網https://reurl.cc/QVq7NpFTNN新聞https://reurl.cc/xKmge1匯流新聞網https://reurl.cc/gnA8Nb引新聞https://reurl.cc/nlG0gd太報https://reurl.cc/NNK679慈善新聞網https://reurl.cc/QVK7no |
| LINE | 中天新聞網https://reurl.cc/DbkzgN優活新聞網https://reurl.cc/NNMXYnTEEPR新聞https://reurl.cc/vKz5GL太報https://reurl.cc/QVK3vM常春月刊https://reurl.cc/2lRgXX慈善新聞網https://reurl.cc/oKEdOg |
| YAM蕃薯藤 | 匯流新聞網https://reurl.cc/xKM571慈善新聞網https://reurl.cc/LQryAK優活新聞網https://reurl.cc/eV29kbNOW健康https://reurl.cc/yK8nKE |
| PCHOME | 匯流新聞網https://reurl.cc/aMmDa7常春月刊https://reurl.cc/bN8Q7y引新聞https://reurl.cc/7bzo6Q優活健康網https://reurl.cc/jmK5XqNOW健康https://reurl.cc/ORKq2r慈善新聞網https://reurl.cc/7bzy99 |
| MSN | 三立新聞網https://reurl.cc/yK8nRqETtodayhttps://reurl.cc/0aqDWo |
| 鏡新聞 | 三立新聞網https://reurl.cc/KO1jNg |
| 台視新聞 | 常春月刊https://reurl.cc/rKGyZZ |
| 民視新聞 | 四季線上https://reurl.cc/7bzox5 |
| 獨家報導 | 匯流新聞網https://reurl.cc/3bEQY0 |