57歲的周先生曾於十多年前接受冠狀動脈支架手術,卻自行中斷服用抗血小板藥物多年。日前,他出現喘不過氣的症狀,但延誤多日後才在診所就醫,被緊急轉至台北慈濟醫院急診。心導管檢查發現他三條冠狀動脈嚴重阻塞,心臟功能只剩20%,合併肺積水與左心室5公分大的血栓,為重度心臟衰竭。心臟血管外科楊凱文醫師、諶大中主任為首的醫療團隊立即安排手術,放置暫時性左心室輔助器穩定循環。之後,再歷經兩次重大手術,包含置換長效型左心室輔助器與處理術中突發的右心衰竭,在團隊努力下,他等到合適的心臟捐贈者,由諶大中主任完成心臟移植手術,順利出院。
心臟衰竭是指心臟無法有效輸出足夠血液供應全身,常見症狀包括喘不過氣、下肢水腫、胸悶、疲憊等。常見成因為冠狀動脈疾病、未控制好的高血壓、瓣膜疾病或心肌病變。若未積極控制,可能導致心室擴大、肺積水,甚至血栓生成,且血栓一旦脫落進入腦部或其他重要器官,將引發嚴重栓塞或中風。楊凱文醫師說明:「病人一直以來都有冠狀動脈狹窄問題,曾放置過支架,理論上應持續服用抗血小板藥物,但他長期停藥,導致心臟血管隨時間慢慢阻塞,進而造成心肌缺血壞死、心臟衰竭。」
對心臟嚴重衰竭的病人而言,移植是唯一的救命方式。由於周先生三條冠狀動脈全部阻塞,左心室有巨大血栓,且心臟肌肉大範圍壞死。手術團隊先進行冠狀動脈繞道手術與血栓清除,並以人工補片重建心臟壁,在術中同步放置暫時性左心室輔助器(LVAD),協助心臟輸出血流。而為了讓病人能返家等待心臟移植,醫師於第二次手術中替他更換為長效型左心室輔助器,不料術中發現右心室功能惡化,因此緊急加裝右心室輔助器(RVAD)支持,並採開胸延後關閉的方式處理術後出血的風險,待心臟狀況穩定才施以第三次手術,移除右心室輔助器並閉胸。最終在醫療、護理、復健與社工的協力支持下,周先生順利完成心臟移植,重啟新生。
楊凱文醫師提醒,曾接受心臟支架手術的病人,務必遵照醫囑長期服用抗血小板藥物,避免血管再狹窄或血栓形成。若出現明顯喘、胸悶、心跳異常或下肢水腫等症狀,應及早就醫評估心臟功能,以免延誤就醫,造成心臟功能惡化。此外,心臟移植雖是最終治療選項,但現今醫療進步,透過輔助器、手術與多專業團隊整合照護,仍有重獲新生的機會,因此務必配合醫師治療。

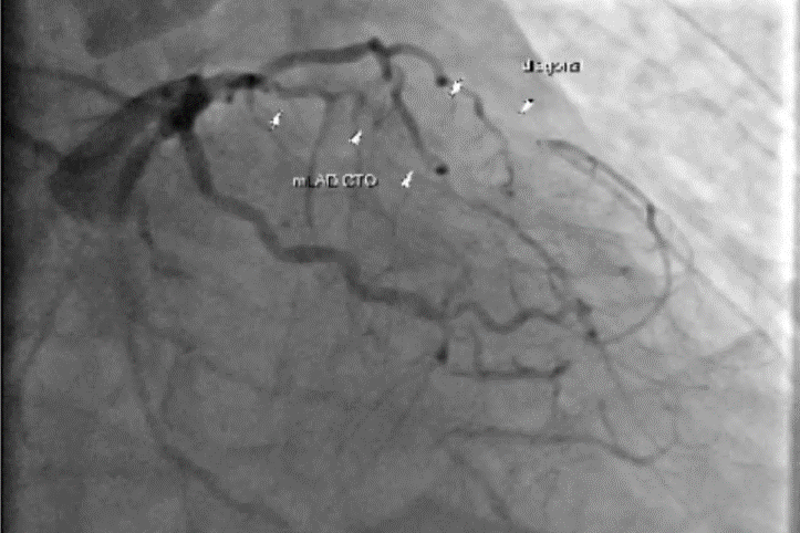
心導管所見,三條冠狀動脈全數堵塞。

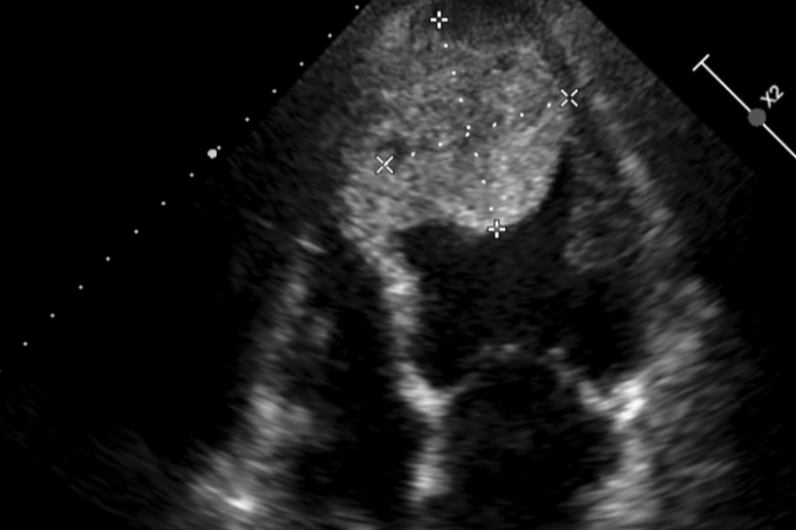
超音波檢查發現心臟有五公分大的血栓。

楊凱文醫師看診示意照。
| 媒體報導 | |
| 自由時報 | 男子喘不過氣急送醫心臟功能剩2成 3度手術換心重生 |
| 聯合新聞網 | 57歲男突喘不過氣、檢查發現心臟功能只剩兩成 三度手術後換心重生 |
| TVBS新聞網 | 曾動心導管手術卻自行停藥 中年男突喘不過氣「重度心臟衰竭」 |
| 三立新聞網 | 他喘不過氣急送醫!竟「3條動脈都塞住」醫嘆:心臟功能剩2成 |
| 民視新聞網 | 男子三度手術心臟移植後重生!心臟衰竭功能一度僅剩2成 |
| 壹蘋新聞網 | 心臟功能剩20% 57歲男三度開刀奇蹟換心重生 |
| 常春月刊 | 三度手術換心重獲新生,停藥十年釀心衰竭險喪命 |
| 良醫健康網 | 3條冠狀動脈全阻塞、心臟功能剩20%…5旬男「1行為」釀重度心衰竭,靠換心手術重生 |
| 匯流新聞網 | 熟男裝心臟支架後犯一錯誤! 害慘心臟功能只剩20%得換心 |
| 好醫師新聞網 | 心臟功能只剩兩成 男子三度手術後換心重生 |
| 華人健康網 | 重度心臟衰竭導致心臟功能只剩2成!男子三度手術後換心重生 |
| TCnews慈善新聞網 | 心臟功能只剩兩成 男子三度手術後換心重生 |
| 引新聞 | 重度心臟衰竭病人 台北慈濟醫療團隊助重啟新生 |
| 網站平台轉載 | |
| YAHOO新聞 | 常春月刊
自由時報 好醫師新聞網 匯流新聞網 慈善新聞網 中天新聞網 引新聞 |
| LINE | TVBS
中天新聞網 華人健康網 |
| YAM蕃薯藤 | 好醫師新聞網
匯流新聞網 引新聞 |
| PCHOME | 常春月刊
好醫師新聞網 引新聞 華人健康網 https://reurl.cc/qYAGXE |
| 民視運動網 | NOW健康 |
| OwlNews | 常春月刊 |
| 鏡新聞 | 好醫師新聞網 |
| 愛傳媒 | 好醫師新聞網 |
| 獨家報導 | 匯流新聞網 |
| MSN | TVBS
https://reurl.cc/vLzRYj |
| Life新聞 | TVBS
https://reurl.cc/qYAdeq |