兒童血便不只是便秘 大腸鏡微創手術切除息肉

兒童血便不只是便秘 大腸鏡微創手術切除息肉

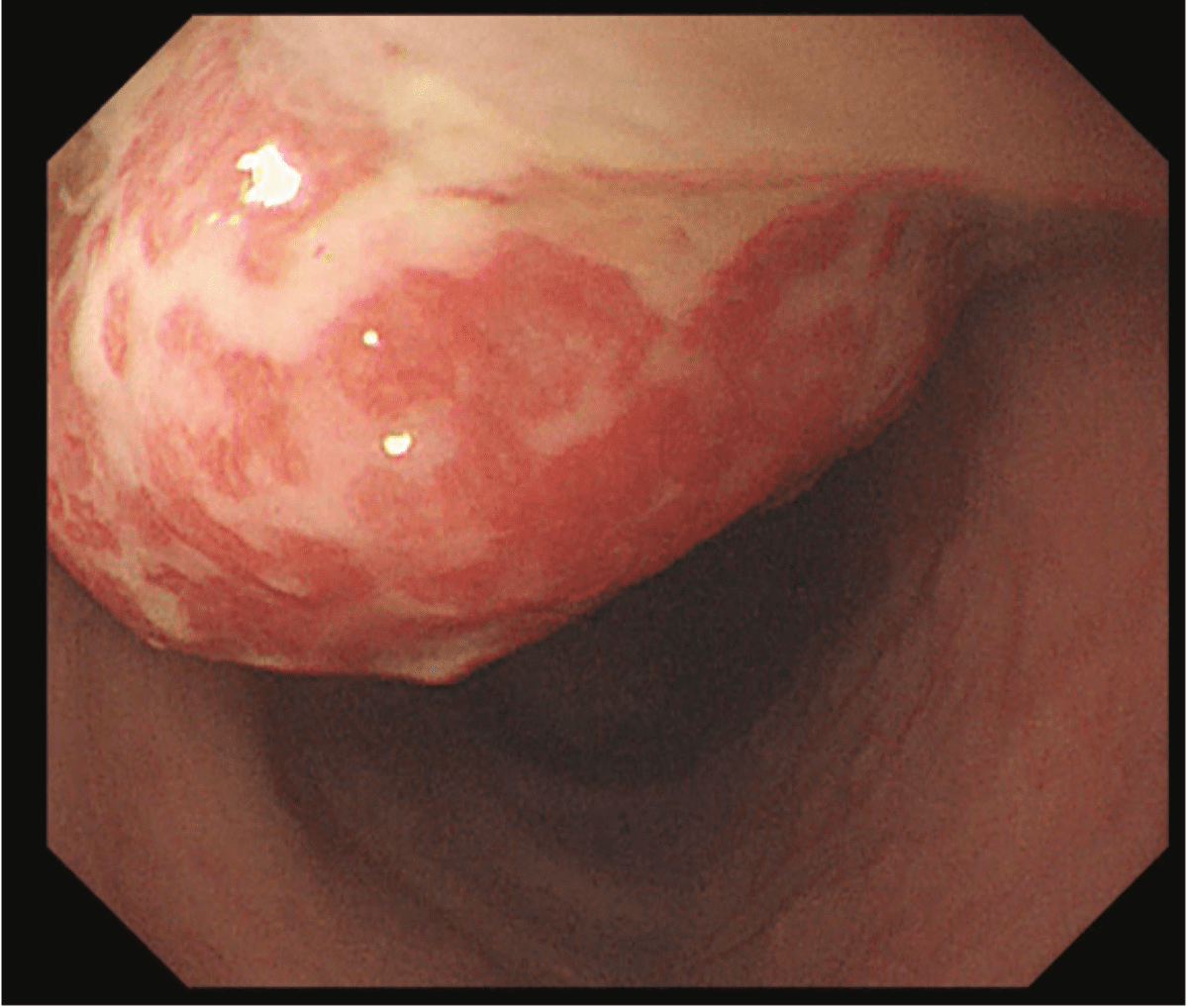
    3歲的林小妹過去半年反覆出現間歇性血便的情形,家長曾多次帶她至診所就診並依便秘症狀治療,但服用診所開立的軟便藥後仍時好時壞,家長擔心病情反覆,遂前往台北慈濟醫院兒科部腸胃科李致任醫師門診求治。由於糞便潛血檢查呈陽性,經核子醫學掃描檢查排除為小腸處的梅克爾憩室後,李致任醫師進一步以無痛麻醉的方式,進行大腸鏡檢查,發現有一約2公分大的單顆息肉,隨即予以切除並止血,術後病理報告顯示為良性的幼年型大腸息肉。經過治療後,林小妹恢復良好,後續回診追蹤亦未再出現血便情形。

    兒童血便的原因多樣,常與便祕有關,但也可能與腸胃道感染、腸套疊、大腸息肉以及小腸處的梅克爾憩室相關。李致任醫師指出:「若出現血便情形,應先觀察糞便型態與顏色。若為硬便合併肛門疼痛,多半與便祕、肛裂有關;但若糞便質地正常,卻反覆出現鮮紅或暗紅色血液,甚至持續數週以上,就必須提高警覺,進一步檢查出血來源。」其中,兒童常見的大腸息肉以「幼年型息肉」為主,臨床上約九成以上屬良性病變,其發生原因為偶發型,沒有特別的發生原因,以台灣而言,臨床發生率約2%,好發年齡以1-7歲的學齡前兒童為主,最典型的症狀即為無痛且反覆性的血便,血色多為鮮紅或暗紅色,若長時間不予理會,部分孩童容易因慢性出血而出現臉色蒼白、活動力下降等缺鐵性貧血表現。

    臨床診斷中,醫師會透過糞便顏色來分辨出血位置,若糞便顏色為黑色可能為胃、十二指腸等上消化道出血;若糞便顏色為鮮紅色可能為大腸、直腸處的下消化道出血。血便可能性眾多,因此需諮詢兒童腸胃科醫師判斷,並安排適當檢查,包含糞便潛血、糞便細菌培養、腹部超音波、電腦斷層及核子醫學檢查等。若醫師懷疑大腸病灶,大腸鏡檢查是最關鍵且具決定性的工具,不僅能直接觀察腸道是否有息肉等病灶,更可在同次檢查中完成切除治療。此項檢查與治療亦可由具備兒童大腸鏡執行資格的兒科醫師進行,以確保檢查安全與精準度,且台北慈濟有專責的麻醉科醫師負責兒童舒眠麻醉,大幅度降低檢查期間的疼痛與不適。李致任醫師表示,大部分的幼年型息肉可透過大腸鏡進行微創切除,在舒眠情況下,將器械透過肛門進入大腸,並在影像系統的輔助下,利用電圈套住息肉根部進行切除,再依情況決定是否需要使用止血夾加強止血;若息肉體積過大或經評估無法以大腸鏡完整切除,才需採外科手術處置。李致任醫師進一步說明:「相較於外科手術,大腸鏡切除手術的優點在於傷口小、疼痛感低且恢復時間短,近九成孩童手術後復發率趨近於零,預後良好。」

    在日常照護方面,李致任醫師提醒,良好的飲食與生活型態是維持腸道健康的重要關鍵。家長可從日常三餐著手,讓孩子多攝取新鮮蔬菜、水果及含有膳食纖維的天然食材,並建立固定如廁時間與規律作息,幫助腸胃順暢運作。若孩子出現反覆血便、體重下降、生長停滯、發燒、臉色較為蒼白或精神活動力明顯下降等情況,應提高警覺、及早就醫,為孩子健康把關。

兒童血便不只是便秘 大腸鏡微創手術切除息肉 20260317 1透過大腸鏡可以看到有一2公分大的息肉。

兒童血便不只是便秘 大腸鏡微創手術切除息肉 20260317 2李致任醫師看診示意照。

媒體報導
媒體 標題
自由新聞網 兒童血便不只便秘!3歲女童驚見大腸瘜肉 大腸鏡微創手術切除https://reurl.cc/Z2Ge1A3歲童反覆血便 竟是大腸藏2公分大瘜肉https://reurl.cc/vEqbQa
聯合新聞網 3歲童反覆血便 就醫竟發現2公分幼兒型大腸息肉https://reurl.cc/EmnjRg
三立新聞網 3歲童反覆血便竟是「幼年型息肉」!醫示警「5症狀」快檢查https://reurl.cc/grWGnN
TVBS新聞網 爸媽擔心!3歲童「血便半年」竟是長息肉 醫:5徵狀快就醫https://reurl.cc/zQeKb7
中天新聞網 孩子血便吃軟便藥沒改善?醫:反覆鮮紅血便恐是大腸息肉https://reurl.cc/R20qrD
中時新聞網 保健》兒童血便久不癒 竟是大腸息肉https://reurl.cc/kpZK4q
東森新聞網 醫起看/3歲童反覆血便半年 竟藏2公分「大腸息肉」https://reurl.cc/yOEbA6
民視新聞網 1至7歲孩童血便、生長停滯 恐為幼年型大腸息肉作祟https://reurl.cc/yOEpOy
ETtoday 3歲童「血便半年」以為便秘 竟是長2公分大腸息肉https://reurl.cc/epEbVm
常春月刊 孩童反覆血便別只當便祕!3歲女童檢查揪出大腸息肉 醫:多見於1至7歲https://reurl.cc/18YKEX以為只是便秘!3歲童血便半年竟是長腸息肉 醫揭「警示症狀」別拖https://reurl.cc/j68Xd1
祝你健康 3歲童反覆血便竟是「幼年型息肉」!醫示警「5症狀」快檢查https://reurl.cc/L2bWXe
NOW健康 1至7歲孩童血便、生長停滯 恐為幼年型大腸息肉作祟https://reurl.cc/L2bK9x
好醫師新聞網 3歲女童血便不止 腸內蔵2.5公分息肉https://reurl.cc/ovxy6Q
TCnews慈善新聞網 兒童血便不只是便秘 北慈大腸鏡微創手術切除息肉https://reurl.cc/qpgVZE
人間福報 兒童血便不只是便祕 大腸鏡微創切除息肉https://reurl.cc/EmnNQA幼年型大腸息肉 好發於1∼7歲https://reurl.cc/aXNdvY
引新聞 幼童反覆血便是息肉作祟 台北慈濟:多為良性但不可輕忽https://reurl.cc/aX9qkY
風傳媒 3歲童半年反覆血便,竟是大腸藏2公分息肉 醫示警5大症狀及早就醫https://reurl.cc/r0g39E
台灣導報 兒童血便不只是便秘 大腸鏡微創手術切除息肉https://reurl.cc/Q29K10
今日新聞 3歲童反覆血便!醫檢查:2公分息肉 3症狀快就醫https://reurl.cc/X2WrAM
鉅聞天下 3歲女童反覆血便半年誤當便秘治療 大腸鏡一照驚見2公分息肉https://reurl.cc/2arqM9
國語日報 反覆血便 幼童罹患幼年型大腸息肉https://reurl.cc/18YLOp
網站平台轉載
平台 媒體
YAHOO新聞 自由新聞網https://reurl.cc/M2AONK三立新聞網https://reurl.cc/qpgVYy中天新聞網https://reurl.cc/N2rQpq中時新聞網https://reurl.cc/npobnl東森新聞網https://reurl.cc/2arAbn常春月刊https://reurl.cc/V2EYgANOW健康https://reurl.cc/4la9gR好醫師新聞網https://reurl.cc/vEqaLk慈善新聞網https://reurl.cc/vEqaGo今日新聞https://reurl.cc/K2A1Ne引新聞https://reurl.cc/YDOEjo風傳媒https://reurl.cc/R20919
LINE 聯合新聞網https://reurl.cc/epEVEL三立新聞網https://reurl.cc/4laL9L中天新聞網https://reurl.cc/ppg3p8東森新聞網https://reurl.cc/R203N9常春月刊https://reurl.cc/qpgbKDhttps://reurl.cc/zQWeVkNOW健康https://reurl.cc/18YN5V慈善新聞網https://reurl.cc/V2EYlQ今日新聞https://reurl.cc/53r9m6風傳媒https://reurl.cc/vEqK1N
YAM蕃薯藤 NOW健康https://reurl.cc/Q29Kr5慈善新聞網https://reurl.cc/O60MQX引新聞https://reurl.cc/zQe1o7
PCHOME NOW健康https://reurl.cc/ppgbmb好醫師新聞網https://reurl.cc/yOELrq慈善新聞網https://reurl.cc/K2Ad4e今日新聞https://reurl.cc/A9kWMp引新聞https://reurl.cc/npomgd
台灣生活網 NOW健康https://reurl.cc/Gam29A
善思新聞網 NOW健康https://reurl.cc/kpZKRG
品觀點 NOW健康https://reurl.cc/r0gOp1
四季線上 NOW健康https://reurl.cc/532klR
鏡周刊 好醫師新聞網https://reurl.cc/L2bW2y
桃園電子報 三立新聞網https://reurl.cc/xWGVzE
翻爆 中國時報https://reurl.cc/ppxgGl