反覆發燒血球異常 三尖瓣重度逆流致脾臟腫大

反覆發燒血球異常 三尖瓣重度逆流致脾臟腫大

  63歲的林先生去年底開始出現不明原因的反覆高燒,多次奔波診所與各大科別求診,卻始終找不到原因,因而來到台北慈濟醫院感染科就醫。抽血檢查顯示白血球、血小板及血紅素低下,必須輸血,但血液及骨髓等相關檢查均找不到病因,僅電腦斷層意外發現脾臟腫大與腹水。最後在住院的心臟超音波檢查中發現林先生罹患三尖瓣重度閉鎖不全,瓣膜上還長了一公分大的贅生物(即細菌感染的病灶),確診為感染性心內膜炎。會診心臟血管外科後,楊凱文醫師替其更換人工生物瓣膜,術中同步清除感染病灶。手術出院後,門診經過一段時間的追蹤,病人的血球數值明顯回升,感染也治療完全,順利恢復健康。

  三尖瓣是位於心臟右心房與右心室之間的重要瓣膜,負責讓血液從右心房單向流入右心室,防止血液倒流,功能上與左心房和左心室之間的二尖瓣類似。楊凱文醫師指出,造成三尖瓣逆流的原因繁多,包括風濕性心臟病、感染性心內膜炎、二尖瓣或主動脈瓣疾病、心律不整,甚至是長期抽菸、慢性呼吸道疾病、自體免疫疾病均可能導致三尖瓣逆流。若三尖瓣功能受損,血液逆流回右心房,使右心房壓力增加,進而影響全身血液回流,就會導致器官壓力上升,當逆流非常嚴重且延遲治療,少部份病人甚至可能導致肝脾出現問題,如肝硬化、脾臟腫大等。而脾臟是造血器官,若因此腫大造成血球細胞破壞,就可能導致全身性血球減少,發生如林先生一般的情況。

  三尖瓣逆流並不少見,國外統計指出,有高達70%-80%的健康人群可見輕微三尖瓣逆流;但中重度以上的三尖瓣逆流發生率則較低,約占整體人口的1%-2%。大多數患者初期多無明顯症狀,直至中重度以上才會有輕微水腫出現,因此許多人往往會忽略其嚴重性,待出現嚴重問題時多已經變成重度逆流。楊凱文醫師表示:「三尖瓣逆流大多可以用藥物控制,若是進展為重度逆流且藥物治療效果不彰,同時合併右心室功能異常,就會需要手術,但臨床案例不多。」診斷上,會以超音波檢查為主,手術則會視病人狀況選擇開胸或微創手術。以林先生為例,考量病人血球數值極低、免疫力差,擔心術中出血,醫療團隊以開胸手術替其更換人工瓣膜,並同步清除感染的贅生物。

楊凱文醫師提醒,民眾若出現長期不明原因水腫、疲倦、反覆發燒等症狀,應積極就醫評估是否有心臟疾病的問題,排除感染可能;若有已知的心臟瓣膜問題也務必定期回診,好好追蹤,及早診斷、介入治療,以免小病拖成大病。

反覆發燒血球異常 三尖瓣重度逆流致脾臟腫大 20251224 1電腦斷層發現脾臟腫大。

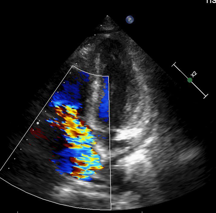
反覆發燒血球異常 三尖瓣重度逆流致脾臟腫大 20251224 2影像檢查發現三尖瓣逆流。

反覆發燒血球異常 三尖瓣重度逆流致脾臟腫大 20251224 3楊凱文醫師看診示意照。

媒體報導
媒體 標題
自由時報 反覆高燒血球低下 竟是心臟「三尖瓣重度逆流」釀禍https://reurl.cc/2l3gAm中年男子發燒不退血球異常 竟是心臟三尖瓣重度逆流致脾臟腫大https://reurl.cc/aMzvOl
TVBS 男反覆發燒竟是心臟出問題 近8成健康人也有這毛病https://reurl.cc/4b8yG3
中天新聞網 反覆高燒找不到病因!竟是「三尖瓣重度逆流」害脾臟腫大https://reurl.cc/qKX8RD
常春月刊 反覆高燒找不到病因,竟是心臟瓣膜感染惹禍!醫師提醒別忽略三尖瓣逆流https://reurl.cc/eVa84R
HEHO健康 莫名高燒、貧血要看「心臟血管外科」?這不是太累恐是「三尖瓣逆流」作怪!https://reurl.cc/aMzvmG
優活健康網 反覆發燒、水腫、疲憊⋯檢查不出病因?醫:恐是「心臟瓣膜感染」警訊https://reurl.cc/EbDzNa
匯流新聞網 熟男反覆高燒找嘸原因 竟三尖瓣重度逆流引「全身血球減少」https://reurl.cc/ZlMGaA
NOW健康 三尖瓣重度閉鎖不全! 六旬男反覆發高燒併發脾臟腫大https://reurl.cc/4b8yvL
TCnews慈善新聞網 反覆發燒血球異常 三尖瓣重度逆流致脾臟腫大https://reurl.cc/rKX80x
今日新聞 男反覆高燒!奔波醫院找不到原因 醫揪「感染性心內膜炎」https://reurl.cc/3bmNWl
中華日報 高燒血球異常 三尖瓣重度逆流https://reurl.cc/8b7nab
知新聞 男子反覆發燒、血球異常 感染性心內膜炎致三尖瓣重度逆流https://reurl.cc/eVa8Km
引新聞 反覆高燒查無病因 台北慈濟揭心瓣感染險釀全身血球低下https://reurl.cc/nlX082
集新聞 反覆高燒查無病因 台北慈濟揭心瓣感染險釀全身血球低下https://reurl.cc/AbD8X3
網站平台轉載
平台 媒體
YAHOO新聞 好醫師新聞網https://reurl.cc/jmp56D慈善新聞網https://reurl.cc/1kz46X引新聞https://reurl.cc/4b8ya2中華日報https://reurl.cc/mkXqvM常春月刊https://reurl.cc/Xa3el7華人健康網https://reurl.cc/9byZOx今日新聞https://reurl.cc/MMDZ03匯流新聞網https://reurl.cc/rKXaQy
LINE HEHO健康https://reurl.cc/laXdjv常春月刊https://reurl.cc/R9D15Z今日新聞https://reurl.cc/9byZvv中華日報https://reurl.cc/EbD2gg優活健康網https://reurl.cc/zKXbpkNOW健康https://reurl.cc/LQD0aX中天新聞https://reurl.cc/4b8yNv
YAM蕃薯藤 優活健康網https://reurl.cc/W8WEG5華人健康網https://reurl.cc/pKXm5r慈善新聞網https://reurl.cc/3bmNeVNOW健康https://reurl.cc/R9D6Wz匯流新聞網https://reurl.cc/5bao4y
PCHOME 常春月刊https://reurl.cc/9byX8v好醫師新聞網https://reurl.cc/2l3gd4優活健康網https://reurl.cc/jmp5n1
民視 匯流新聞網https://reurl.cc/MMDZGL
MSN 今日新聞https://reurl.cc/VmeXVQ
Owl News 好醫師新聞網https://reurl.cc/3bmNb9常春月刊https://reurl.cc/QVD72p匯流新聞網https://reurl.cc/8b7yej
鏡新聞 好醫師新聞網https://reurl.cc/yKXn42